By
Anita Dushyanth, PhD
NASDAQ:VRAY
Radiation oncology is one of the major approaches besides chemotherapy and surgery to treat cancer, precisely and accurately, with ionizing radiation while sparing adjacent, healthy tissue. While Computed Tomography (CT) is traditionally used in radiotherapy (RT) procedures, recent advances in technology have several firms developing systems that use Magnetic Resonance Imaging (MRI). While cone beam CT (CBCT) has been useful for localizing target areas in radiation treatments, it is not the best technology for visualizing soft-tissue anatomy. MRI provides an unparalleled view of soft-tissue structures and is therefore considered the gold standard in such applications. MRI has several advantages over CT:
- It provides superior soft-tissue contrast as compared to CT.
- Unlike CBCT, MRI does not produce ionizing radiation.
- CBCT imaging systems currently in the market are relatively slow taking about one minute to acquire a volumetric image set. MRI, on the other hand, offers very fast volume acquisitions and can image biologic as well as physiologic activity.
ViewRay, Inc. (NASDAQ:VRAY) became a public company (OTCQB: VRAY) via a reverse merger last year (July 2015). Within a year the firm was uplisted to the NASDAQ Global Market (NASDAQ: VRAY) in March 2016. The MRIdian was developed by VRAY in collaboration with Siemens Healthcare, which integrates a Cobalt therapy unit with a low field MRI scanner. VRAY’s MRIdian-Cobalt is the first and only MRI-guided radiation therapy system in the market. It allows clinicians to simultaneously image and treat patients suffering from cancer.
ViewRay’s research efforts have established a series of industry firsts in product design such as:
- First patient treated with MRI-guided RT
- First and only FDA-cleared MRI-guided RT system
- First and only CE-marked MRI-guided RT system
- First on-table adaptive RT system
- First system to provide direct soft tissue tracking
- First system to exclusively use Monte Carlo Treatment Planning System (TPS)
- First MRI-guided system to fit in standard vaults
Currently, innovators at ViewRay have met the challenge of combining the proven cancer treatment capabilities of a Linac with the soft tissue imaging capabilities of MRI. The firm has developed radio frequency (RF) “cloaking” technology to prevent RF emitted by the Linac from destroying the MR image quality as well as magnetic shielding technology to enable undistorted delivery of radiation. The firm’s double-focused multi-leaf collimator (MLC) technology allows delivery of sharp radiation beams. Further, the magnet is designed such that it can be easily incorporated into existing vaults. Real-time MRI radiotherapy is a potentially disruptive technology that non-invasively allows anatomical and physiological targeting resulting in the potential to improve cancer outcomes. VRAY’s proprietary technology is an emerging disruptive technology that allows the potential to provide targeted dose using 3D image guidance during the treatment.
ViewRay’s fast on-table adaptive RT (ART) treatment planning system (TPS) is capable of delineating structures of interest as well as computing a priori Monte Carlo dose to support 3D-CRT, IMRT and SBRT that are clinically equivalent to those produced on the most advanced linear accelerators available today, yet can be done during treatment while the patient is still on the table. Allowing clinicians to re-optimize and reshape dose distributions to adapt to a patients changing anatomy at each treatment, a capability that other systems do not provide. ViewRay’s MRIdian system provides positioning accuracy of soft tissues which can be verified visually and is updated four times a second during beam delivery.
The rise in cancer prevalence, coupled with the increase in sophistication of new treatment regimen has created demand for technologically sound systems that can be integrated into clinical practice to make treatments more rapid and cost effective. While growth of radiotherapy in developed nations is stunted as the market is mature with RT systems, there is a positive trend in growth that is associated with replacement purchases. Growth in emerging markets is expected to be robust given that they are under-equipped. This demand in emerging markets, coupled with the replacement market in developed nations, and the ever- increasing incidence of cancer globally, provides a substantial growth opportunity to disruptive technologies such as ViewRay’s.
A paradigm shift is occurring in the approach to RT therapies from invasive and radiation-exposing techniques using CT to non-invasive and non-radiation based MRI procedures. MRI guided procedures such as those provided by MRIdian make it possible to improve visualization and reduce dose fractions, consequently decreasing healthcare costs. Clinical data using the MRIdian system has demonstrated the same. We expect there may be an uptick in the use of MRIdian as clinical documentation as well as publications help highlight benefits over conventional RT procedures.
We believe that MRIdian may be used more frequently for complex cancer cases to address tumors that may be difficult to treat on a conventional Linac due to its location in relation to the surrounding soft tissues. Further, we think the MRIdian can be used to treat a broad spectrum of diseases. We are initiating coverage on VRAY with a price target of $8.00/share.
PRODUCT
MRIdian Cobalt-60 (currently marketed): VRAY’s promise to shrink the (cancer) risk!
ViewRay’s split-magnet MRI system is used for pre-treatment imaging, real-time and adaptive radiotherapy. The imaging and radiation delivery systems are designed to operate in tandem for accurate, targeted administration of radiation dose. The MRIdian system records patient information, treatment protocols, amount of dose administered with every fraction, the accumulated dose, MR imaging data and system performance during treatment. The system can be disassembled (pop-apart design) for installation to allows easy transportation through existing hospital entryways,

The MRI System: The MRIdian radiotherapy system is designed to fit in a conventional radiotherapy bunker. The MRIdian system utilizes a split, superconducting low field strength (0.35T) magnet that helps minimize distortions to the radiation beam and the image so that a precise dose of radiation can be accurately delivered. Volumetric scans are acquired in about twenty to ninety seconds prior to commencing treatment in order to localize the region of interest. Radiofrequency (RF) surface coils are designed to be thin and uniformly attenuating. They are covered in low-density foam and positioned on the patient to prevent increased surface dose as well as for improved patient comfort. 3D-CRT, IMRT and SBRT can be performed using MRIdian, which delivers clinically equivalent results to those produced by the most advanced linear accelerators currently in the market.
Radiation Source: Cobalt generates gamma rays, which offer many of the same benefits as X-ray photons without interfering with the operation of the MRI unit. Radiation is delivered from three Cobalt-60 radiation therapy heads (15,000 curies per source) symmetrically mounted (120° apart) on a rotating ring gantry between the gap in the MR magnets (allows unobstructed beam path) and provides full 360 degree coverage. The Cobalt sources share a common isocenter with the magnet thereby enabling simultaneous and continuous MRI during radiation delivery.
Each radiation source is equipped with a double-focused Multi-Leaf Collimator (MLC), with 1.05cm leaf width and a maximum field size of 27.3cm x 27.3cm at the isocenter distance of 105cm, resulting in minimal beam penumbra for precision. It is well accepted that X-ray radiation techniques can control many cancers if the radiation beam can be adequately controlled to target the cancerous tissue. MRIdian’s MLCs help in defining the irradiation beam precisely to target cancerous cells. A pneumatic drive moves the sources in and out of the depleted Uranium shield. The system design enables axial radiation beam access to the patient with minimal attenuation. During treatment, tissue/organ structures are observable in continuous and simultaneous fast planar images; in one sagittal plane at four frames per second or in three parallel sagittal planes at two frames per second. The gantry containing the sources is positioned between two superconducting magnets. Patient bore diameter is 70cm and accommodates large patients. Imaging takes place in a 50cm diameter spherical volume.

Software: The MRIdian software possesses the capability to track the soft-tissue continuously in MRI images. Using this software, the on-table ART process can be implemented in less than two minutes, and includes: auto-contouring, dose prediction and treatment plan optimization. For contouring, the software will automatically delineate the tumor border. This process allows the clinician to make refinements to the region of interest before delivering treatment, if necessary. Dose prediction can be calculated immediately following auto-contouring. The software then generates a treatment plan in about one minute, allowing time to re-plan while the patient is on the table. While the radiation dose is being delivered, the software analyzes the acquired images to determine the tumor’s or organ’s location relative to set boundaries. If the targeted tumor or a critical organ moves outside the defined boundary, which can occur due to physiological motions such as respiration, cough or digestion, the treatment beams will automatically pause and will automatically resume when the tumor moves back into the target zone. Physicians can set both spatial and time thresholds for pausing treatment delivery. This enables the system to account for tumor and patient motion during treatment.
The software records all details pertaining to the treatment and builds a database of patient-specific planning, delivery and imaging data. It also includes a review tool which provides clinicians with a visual comparison of the delivered versus planned treatment. At the end of each treatment, the software determines the delivered dose by combining the recorded actions of the radiation delivery system with the daily image and auto-contouring of the patient. With this information, clinicians can fine-tune prescriptions based on the actual dose delivered. In addition, it provides a MRIdian Movie™ of each delivered treatment, which can be evaluated by the physician or exported and shared with the patient.
Safety and Control System: In addition to complying with the FDA and Nuclear Regulatory Commission (NRC) requirements, the MRIdian system is additionally equipped with redundant safety systems. If any two components in the radiation delivery subsystem fail simultaneously, such as power and pneumatics, the system reverts to a safe state. MRIdian also contains redundant computer control for safety and system logging and double encoders on all axes of motion for safety. The control system continuously monitors performance to ensure all systems are performing and communicating appropriately.
MRIdian Linac (under development): A technically challenging but bold move!
A Linac is a device that accelerates electrons to high speeds through a waveguide. The equipment is most commonly used to irradiate cancer cells (EBRT). The high-energy photos released from the system are made to conform to the shape of the tumor and can be delivered from many angles by rotating the gantry and/or moving the treatment couch.
In March 2016, the firm announced the development of a system that combines the Linac technology onto the existing MRIdian platform, eliminating the need for cobalt. What’s interesting about this revolutionary system is that it delivers radiation beams in a magnetic field using a linear accelerator and modifies the MRI system to incorporate Linac technology. The MRIdian-Linac upgrade maintains the footprint of the legacy system; the pop-apart model allows replacing the Cobalt with the Linac gantry.
Linacs utilize high-powered microwave generators that generate noise, which can corrupt the delicate signals emitted from the patient’s body to generate MR images. ViewRay solved this problem by introducing a technology similar to that used in stealth aircraft. Stealth aircraft can hide from radar by using a coating that reflects and absorbs microwaves, thus preventing radar beams that strike the aircraft from bouncing back to the radar station. In a similar manner, the system reflects and absorbs the output of the Linac’s RF waves thereby hiding it from the MRI, producing noise-free MRI images.
MRIs utilize high-powered superconducting magnets that are required to image the patient’s tissues. Many Linac components will not operate properly when placed close to or inside these strong magnetic fields. ViewRay overcame this challenge by creating magnetic shielding shells that create voids in the magnetic field without significantly disturbing the magnetic field used for imaging. This allows for a compact system like the MRIdian-Linac, which integrates the Linac to operate on the MRIdian gantry as if there were no magnetic field present.
APPLICATIONS

IMRT is an advanced form of EBRT in which the shape, angle and intensity of the radiation beam are varied for precise, targeted therapy. This form of radiotherapy allows physicians to deliver higher doses of radiation to the target region as compared to conventional radiation treatments. IMRT allows for clinicians to personalize treatment plans for each patient. IMRT is used to treat complicated, cancerous anatomic sites such as head and neck, prostate, gynecological and central nervous system (CNS). IMRT has become a well-accepted standard of treatment for cancer.
IGRT is another advanced form of EBRT that complements IMRT to enhance treatment efficacy. While IMRT allows for precisely shaping the beam, IGRT goes further to accommodate for a tumor moving or shrinking thereby improving accuracy. IGRT technologies provide dynamic, real-time visualization enabling precise treatment of small, moving and changing tumors, which allows clinicians to deliver higher doses of radiation to tumors with the goal of sparing more of the surrounding healthy tissue and potentially improving outcomes. IGRT has also become an accepted standard for treatment in the radiation oncology community.
SBRT and SRS, referred to as radiosurgery, are advanced ablative radiation treatment procedures performed with high doses of ionizing radiation. Radiosurgery uses precise stereotactic image-guidance, which maximizes dose to the target and minimizes dose to surrounding normal tissues. A drawback to SRS/SBRT technique is that it is suitable only for small, well-defined tumors and the amount of radiation that may be safely delivered is limited if the cancer is located close to a sensitive normal structure, such as the spinal cord or bowel. On-table MRI guidance has the potential to improve it use in such cases.
3D-CRT employs CT technique to generate a 3D volume of the target anatomy. The treatment planning software uses this information to design radiation beams that conform to the shape of the tumor. The radiation beams are focused precisely on the tumor to irradiate it while sparing surrounding normal tissues. 3D-CRT is used extensively for treating several cancerous anatomical sites.
Clinical Studies: Instead of relying on existing bones or implanted fiducial markers, the MRIdian system’s real-time imaging enables the physician to track the movement of the tumor and the surrounding healthy tissue directly. With better soft tissue imaging provide by MRI, the patient can be aligned more accurately for treatment. When the tissues have changed and the treatment plan is no longer acceptable, on-table ART allows for the reshaping of the dose to maximize target coverage and healthy tissue sparing without moving the patient. During beam delivery, the treatment beam automatically pauses in situations where a tumor is in close proximity to a critical organ, such as the heart during lung and breast cancer treatments or the rectum during prostate cancer treatments. The real-time tracking of tissues has enabled physicians to treat patients who would not have been considered for radiation therapy.
Breast: Breast position and shape differs widely and is further exasperated when treating the left breast as it is close to the heart. With MRIdian, a highly conformal dose can be delivered to the target with minimized dose to the healthy breast tissue and sensitive structures.

Pancreas: Most pancreatic cancers are difficult to resect due to the organ’s proximal location to the celiac and superior mesenteric arteries along with the portal vein in the abdominal cavity. The head of the pancreas is located within the curve of the duodenum. It is important to track the portal vein or pancreatic head during treatment because the duodenum is very sensitive to radiation. MRIdian allows you to continuously monitor the target area with a gated breathing technique.

Adenocarcinoma of Distal Esophagus: The image above left shows the GTV delineated by the physician from the CT simulation. The image above right from the MRIdian® simulation shows the updated GTV. A large area of this target was not visible on the CT and therefore could have been missed without the MRI.

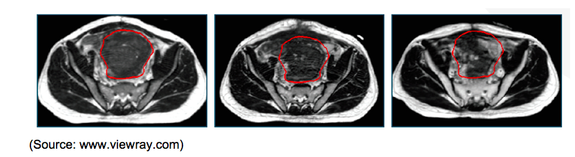
Sigmoid Colon Cancer with Bladder Invasion; A large sigmoid tumor that was invading the bladder could be located and accurately tracked despite its motion using the MRIdian system.

The ability of MRIdian to simultaneously image while treating not only enables clinicians to treat cancers that would be difficult to treat using other radiotherapy systems, it also enables the clinicians to hit the tumor “hard”, with largers doses in less sessions. Using CBCT guided radiotherapy systems, doses of radiation are often fractionated and standard radiation therapy is often given once a day (five times a week) for up to eight weeks. The ability to view the tumor during treatment and the enhanced ability to avoid nearby healthy tissues, potentially allows clinicians to give more intense doses in a single or a few sessions and reduce the significantly reduce the duration of treatment. The reduced duration of treatment is going to be embraced enthusiastically by both patients and healthcare systems.
INTELLECTUAL PROPERTY
The firm’s innovations are protected by 36 issued or allowed patents and 91 pending applications globally. The individual patents or patent applications owned or licensed will begin to expire in 2025 until 2037.
COMPETITORS
Varian Medical Systems, Inc. (NASDAQ:VAR), Elekta AB (Sweden, EKTA-B.ST), Accuray Incorporated (NASDAQ:ARAY), Thermo Fisher Scientific (NASDAQ:TMO), C. R. Bard, Inc. (NASDAQ:BCR), IsoRay Medical, Inc. (NYSE:ISR), Ion Beam Applications SA (Belgium), Nordion, Inc. (Canada), RaySearch Laboratories AB (Sweden), Mevion Medical Systems, Inc. (U.S.), and Mitsubishi Electric Corporation (Japan) are the key players in the global RT sector. Other competitors in the internal and external radiation therapy market include Brainlab, Theragenics, GE Oncura, Best Medical, Eckert & Ziegler BEBIG and IsoAid among others. VRAY also faces competition from alternative cancer treatment methods, such as traditional surgery, chemotherapy, robotic surgery and drug therapies.

Varian Medical Systems: Varian is currently the global leader in radiology solutions enjoying the lion’s share (55%–60% globally) of the radiation oncology market. Worldwide close to three million people are treated annually on Varian's systems. Varian has five different models of Linacs. Clinac iX® is its most popular model, with a global installed base of over 5,000 machines. Varian generates ~50% of its total revenues in North America, 26% and 24% of total revenues in Europe and Asia, respectively. Varian systems comprise of over half of the Linac market in the U.S. Varian’s annual revenues amounted to more than $3 billion (2015).
Elekta is the second-leading competitor in the Linac market. Similar to Varian, this company exclusively specializes in radiation oncology, with products ranging from radiotherapy, radiosurgery and brachytherapy. Elekta features four models of Linac, with its least expensive being the Compact®.
VRAY versus Competitors:
The observed and reported potential clinical benefits of the MRIdian system over competitors’ systems include:
- better visualization of soft tissues as the system uses MR imaging
- treatment of patients previously untreatable with RT
- target tracking in head and neck regions which are prone to physiologic motion
- dose escalation for certain anatomic sites
- better control of dose (if tumor is near critical structures)
- reduction in the number of treatment fractions for certain tumor sites.
Technology: ViewRay is ahead of the game with an innovative product design that
- allows real-time visualization using MRI during radiotherapy
- allows on-table adaptive therapy
- allows direct soft tissue tracking
- has in-built exclusive Monte Carlo Treatment Planning System (TPS)
- is FDA-cleared and CE-marked and
- fits in existing, standard-sized vaults.
Competitors’ products use X-rays/CT, which falls flat in comparison to MRI’s ability to image soft tissue structures embedded deep within the body. X-rays also expose the patient to unnecessary additional radiation. Since target regions could move due to physiologic motions (respiratory or peristaltic movements or cardiac pulsations), there is immense uncertainty when using X-rays/CT in accurately defining the region of interest to deliver radiation doses in fractions. MRIdian circumvents all of the aforementioned issues efficiently.
Magnetic field strength: While competitors propose the use higher field strength (1.5T) magnets in systems under development that both distort soft tissue images, by up to approximately 6mm, and dose distribution, MRIdian uses low field (0.35T) magnets to avoid the image and dose distortion as well as to prevent heating of tissue within the patient. MRIdian uses TRUFI (true fast gradient echo imaging with steady state precession) sequence, which is known to provide the best signal-to-noise ratio at very high speed.
Field of view: The sharp Cobalt beam resulting from the double focused MLCs can target a region of size 27.3cmx27.3cm which is comparable to the TrueBeam (Varian) that has a field of view of 30.1cm x 40.1cm at isocenter. When available, the MRIdian Linac system will apply double focused MLCs to the linac producing even sharper beams than now available.
Target Localizing: Instead of relying on existing bones or invasive implanted fiducial markers as in other RT systems, the MRIdian system’s real-time imaging enables the physician to track the movement of the tumor and the surrounding healthy tissue directly. In this system, the tumor is the visualized target making fiducial markers obsolete.
Dose delivery: Treatment verification is of prime importance to avoid large deviations in delivered dose. The traditional clinical practice is to correlate the internal target motion with some external reference (e.g., skin surface, abdominal pressure, tidal lung volume from a spirometer.) and control the on/off status of the radiation beam on the external reference’s signal. However, the internal target motion and external surface signal is variable and exhibits both inter- and intra-fractionally. It is therefore important to verify that the moving tumor stays inside the planning target volume (PTV) whenever the beam is enabled during treatment delivery.
Since MRI does not provide radio density information that is required for optimal dose treatment planning, the MRIdian is designed to accommodate deformable registration of images and allows transfer of CT density to MRI for dose calculation using Monte Carlo (MC) algorithm. Further, the MRIdian allows real-time tracking of the target tumor, which helps physicians treat it with higher doses over fewer fractions. The software also allows for intrafractional corrections during treatment.
Frame rate: MRIdian allows for MRI acquired in four frames per second in one plane or two frames per second for three planes. The company announced at ASTRO in September 2015 an upgrade to eight frames per sec.
Pricing: Acquiring radiotherapy equipment involves high initial capital costs for the hospitals. ViewRay’s MRIdian system, priced at $5.2 million is set at a higher price point than competitor’s radiotherapy systems. Varian’s systems are priced in the range of $3-$5.5 million; the higher price reflects the purchase of supplemental options and technologies.
Elekta’s management indicated that the pricing on its MRI-guided Linac is going to be priced at almost four times the Versa HD (roughly $12 million) and expects sale of about 75 units by the end of 2019. Although ViewRay has not yet disclosed the pricing of its MRIdian-Linac, we think that it will be priced at a premium to the MRIdian-Cobalt system, as Cobalt systems are generally priced cheaper than Linacs.

Ease of Installation/Upgrade: The ViewRay system is designed to fit in an existing radiotherapy vault unlike its competitors that require renovations to an existing radiotherapy unit for retrofitting their system.
Other MRI-guided Linac systems: Elekta and Philips have are developing a high-field MRI-guided RT system that integrates a 1.5T MRI with a 6 MV Linac. The first prototype was built in 2009, and a clinical system, under the trade name Atlantic, is now under development, Pending approval, Elekta plans to start selling the MRI-Linac in 2017.
REGULATORY APPROVAL
The ViewRay System, which cited Trilogy Mx System (X-ray / linac system from Varian Medical Systems) as the predicate in its FDA filing, received 510(k) marketing clearance from the FDA (K111862) in 2012. VRAY also obtained the license and permission to import MRIdian into the United Arab Emirates (U.A.E.) in December 2014. The device obtained CE Mark in 2014 and has regulatory approval in Italy, where regulatory approval in addition to CE Mark is required, (January 2015) and Korea (September 2015). Besides the CE Mark, medical devices need to undergo other regulations to be marketable in the EU, which may differ by country. The review process is conducted by governmental (Competent Authorities) as well as private (Notified Bodies) organizations who are designated by the EU member countries. On August 15, 2016 the firm received the Shonin approval from the Japanese Ministry of Health, Labor and Welfare (MHLW) to market the MRIdian System. Management is currently seeking government approval to market MRIdian-Cobalt in China. Additionally, management is in the process of preparing applications for 510(k) marketing clearance by the FDA and CE marking in the European Union for the MRIdian-Linac system. The firm hopes to complete this submission in 2H 2016, as required for commercial launch of this technology. While approval is broad with its 510(k) substantial equivalency clearance, radiation oncologists are still investigating the system’s potential uses. Emerging markets are a significant source of revenue and the FDA approval can help meet regulatory requirements for marketing approval in these regions.
REIMBURSEMENT
The cost of radiotherapy is variable and is driven by the complexity of the treatment and the amount of dose fractions required per treatment. Although the cost associated with radiation therapy is significantly and consistently higher than surgery, radiotherapy is reimbursed at a higher rate than surgery due to the involvement of specialists (oncologists, physicists, radiation therapists) and advanced technology systems, and the costs are factored into payment schedules. The ViewRay’s system is used for IMRT, image guidance, 3DCT and SBRT, for which all the current billing codes are used. Additionally, the firm provides reimbursement support to patients through a third-party vendor.

Medicare and Medicaid are the predominant sources of payment for radiation oncology as they have a high percentage of the oncology patient base. Medicare reimburses for such procedures rendered in a private practice or independent cancer center based on the Medicare Physician Fee Schedule (MPFS) that is funded by Medicare Part B, and according to the Hospital Outpatient Prospective Payment System (HOPPS) for services provided by outpatient department in a hospital. Services are defined by Current Procedural Terminology (CPT) codes with each code consisting of costs associated with physician work, practice expenses, and professional liability insurance and malpractices. For reimbursement purposes, Centers for Medicare and Medicaid Services (CMS) assigns relative values to services rendered that reflects the amount of work and the expenses related to direct and overhead practices. After applying an indicator for geographic practice cost, the resulting relative value units (RVUs) are summed for each service and multiplied by a fixed-dollar conversion factor to establish the payment amount for each visit or procedure.
There is a professional (physician) and technical (clinic, hospital) component to reimbursement. The reimbursement for radiation oncology services were cut by 3% and payments to radiation therapy centers were cut by 9% as a result of changes proposed by CMS. The payment cuts to radiation therapy is likely in part due to the proposed change made to the usage rate assumption for Linacs. CMS assumes that the equipment is generally used for 35 hours per week (a 70 % utilization rate) instead of 25 hours per week (a 50 percent utilization rate). CMS is implementing this change over two years. This means that the equipment utilization rate for 2016 will be 60% and 2017 it will be 70%. Moving from a 50% assumption to a 60% assumption in 2016 has lowered the payment by approximately 15%. CMS is proposing further cuts in 2017 to the radiation therapy treatment delivery codes and increase in professional service payments for hospital-based radiation oncologists. The recent (2016) MPFS and HOPPS final rule resulted in no change in Medicare payments to physicians involved in oncology services as well as payments for several radiation therapy modalities including IMRT, IGRT and 3D-CRT.

MARKET
Incidence of Cancer: WHO forecasts global cancer incidence to rise at around 2% annually from 14 million cases in 2012 to 19 in 2025 and reaching 23 million in 2035, with the predominant types remaining lung, breast, colorectal and prostate cancer. The incidence of cancer in developing economies is about 8 million new cases annually. The radiotherapy market is expected to expand due to the aging population because ~70% of the newly diagnosed cancer patients are older than 65 years of age.


Radiation Therapy for Cancer: Radiation therapy is one of the three primary treatments for cancer besides surgery and chemotherapy. Roughly, two-thirds of cancer patients receive radiation therapy sometime during their treatment phase, according to the American Society for Radiation Oncology (ASTRO). In developed markets, technological advancement and system life cycle present a potential growth opportunity in the oncology segment. Europe and North America are technically advanced and extensive research in oncology sector has made them major contributors to the global market’s revenue in radiotherapy. Around 30-40% of cancer patients in Europe and 10-20% in the larger emerging markets such as India and China are treated with radiotherapy.
Approximately 85% of the world’s population is in developing countries where only ~4,000 radiation oncology machines are installed. Due to the absence of effective prevention, early detection and screening services, as well as lack of adequate diagnostic and treatment facilities, most cancer patients in these regions are left without any access to treatment. Further, with only a few machines installed to treat new patients, the costs associated with treatment contribute to the global inaccessibility of cancer services in most countries. However, increased prosperity in developing nations is also raising the demand for better care in oncology.
While cancer is the second most common cause of death in the U.S. after heart disease, an increasing number of people are surviving the disease lately due to the advancement in early detection. NCI statistics indicate that breast cancer is the most common type of cancer followed by lung and prostate. Breast, prostate and lung cancer patients make up more than half (56%) of all patients receiving radiation therapy. Linacs are employed in 90% of radiation treatments and patients undergo thirty treatments on average.
Utilization rates for radiotherapy are expected to increase in both emerging and some of the developed European markets. According to the IAEA, globally there are currently around 13,400 radiotherapy accelerators providing both curative and palliative treatments to cancer patients with the largest concentration being in North America (4,242 systems, including Cobalt-60 systems). The number of accelerators per million people range from 12 in the U.S./Canada, 5 in Europe, to 0.9 in Asia and 0.3 in Africa.

Cobalt-60 units have traditionally been considered to be cheap and robust in cancer clinics in developing countries. However, sophistication in technology has increased their purchase price and maintenance cost. After the 9/11, incident security concerns have limited their transport.

The need for cancer treatment using radiotherapy is growing. Since Linacs are operable for ten to twelve years and the mature markets are primarily ripe for replacement systems, they will need to be replaced continuously, especially in regions where proton therapy machines are not viable.
Installed Base: The firm installed four units at four leading cancer centers in the U.S. including Washington University and Siteman Cancer Center at Barnes-Jewish Hospital, University of California, Los Angeles Health System and Jonsson Comprehensive Cancer Center, University of Wisconsin Carbone Cancer Center and Sylvester Comprehensive Cancer Center at the University of Miami. VRAY has two units installed outside the U.S. at Seoul National University in Seoul, South Korea and at VU University Medical Center in Amsterdam.
FINANCIAL ANALYSIS
Revenue: Product revenue consists of sales of MRIdian systems, as well as optional components, such as additional planning workstations and body coils. In addition to the capital equipment, the firm offers maintenance service at no cost to customers to cover parts, labor and maintenance for one to two years. In addition, the firm offers multi-year, post-installation maintenance and support contracts that provide various levels of service support. These post-installation contracts are for a period of one to five years and provide services such as 24/7 on-site parts, labor and preventative maintenance. The company also offers technology upgrades to the MRIdian systems, if and when available, for an additional fee. Product revenue is recognized when the system is delivered and installed. Service revenue is recognized on a straight-line basis over the term during which the contracted services are provided.
Expenses: The firm continues to incur significant expenses related to their ongoing research on the MRIdian-Linac technology and other innovations, sales and marketing efforts, capital expenditures as well as general and administrative expenses. The excise tax of 2.3% on the domestic sales of medical devices in the U.S., which started on January 1, 2013, was suspended beginning January 1, 2016, for two years. The tax hit small and mid-size medical device manufacturers who were already weighed down by the stringent regulatory and reimbursement procedures. The repeal provides temporary relief to the firm as it will be reinstated back by January 1, 2018 unless other legislative laws are passed further.
Debt: In June 2015, the company collateralized all its assets and entered in a loan agreement with Capital Royalty Partners II L.P. (CRG Term Loan) for up to $50 million of which the first $30 million was drawn on the closing date. So far the company has borrowed $45 million under this facility.
The CRG Term Loan matures on June 26, 2020 and bears interest at a rate of 12.5% per annum to be paid quarterly during the first three years, or the interest-payment-only period. The interest-payment-only period can be extended until June 26, 2019 if the company completes an initial public offering (IPO) of on a nationally recognized securities exchange that raises a minimum of $40 million in net cash proceeds with a minimum of $120 million post money valuation on or before June 26, 2018. During the interest-payment-only period, the company has the option to pay only 8% of the 12.5% per annum interest in cash and the remaining 4.5% of the 12.5% per annum interest as compounded interest, or deferred payment in-kind interest, added to the aggregate principal amount of the CRG Term Loan. Principal payment and any deferred payment in-kind interest have to be paid quarterly in equal installments following the end of the interest-payment-only period through the maturity date.
The CRG Term Loan is subject to a prepayment penalty of 3% on the outstanding balance during the first year of funding, 2% on the outstanding balance after year one but on or before year two 1% on the outstanding balance after year two but on or before year three, and 0% on the outstanding loan if prepaid after year three thereafter until maturity. The CRG Term Loan is also subject to a facility fee of 7% based on the sum of the CRG Term Loan drawn and any outstanding payment in-kind interest payable on the maturity date or the date such CRG Term Loan becomes due.
VRAY used part of the proceeds received from the CRG Term Loan to pay off the $15 million outstanding debt with Hercules on June 26, 2015.
Cash Position: As of June 30, 2016 the company had cash and cash equivalents of ~$9 million.
Loss: VRAY has federal net operating loss carryforwards of $170 million, which begin to expire in 2024 and ~$110 million related to state net operating loss carryforwards, which begin to expire in 2019. The firm also has federal research and development tax credit carryforwards of $2.5 million as of December 31, 2015.
VALUATION
While we think that the MRIdian system has surpassed its competitors based on technology as well as treatment regimen, the underlying question of whether ViewRay’s system will become the system of choice depends on whether the firm can penetrate developing markets and/or replace the current systems in mature markets with MRIdian’s products.
We calculate the potential addressable market for radiotherapy, including the number of treatable patients as well as consequently, the number of RT systems that are needed to satisfy this demand. According to WHO/GLOBOCAN, there were ~14 million cancer patients in 2012, and this prevalence is rising at the rate of 2% annually. Of this number, 57% are in the developing nations. There is anecdotal evidence that about 60% of those patients are suitable for radiotherapy (currently more than two-thirds of cancer patients in the U.S. receive RT), of whom 88% are eligible for treatment using Linacs. This brings the total eligible patient population to roughly eight million who could potentially receive external beam radiation therapy using Linacs. Currently, as per the IAEA, approximately 13,000 machines are installed globally of which 3,300 RT units are in developing countries, primarily Cobalt therapy units.
If we assume that radiation therapy is given once a day, six times a week, for six weeks on average, with each treatment lasting between ten to fifteen minutes, one machine can treat an average of 624 patients annually. Knowing that the global cancer population treatable by RT systems is about eight million annually, the total potential demand for global LINAC systems could be as much as around 13,500 units, of which 10,000 are required in the emerging markets and the remaining in established markets.

The RT market is divided into two parts: replacement segment and new installation segment. Both markets offer their own unique advantages and challenges. Developed countries such as the U.S. have the infrastructure and financial resources to indulge in new technology. Such markets are already mature and home to significant portion of the installed base globally. As previously discussed, Varian, and Elekta, account for the lion's share of new installations. According to IAEA Human Health Campus, there are 11,000 Linacs installed at over 7,500 centers worldwide. In the U.S., there are ~4000 Linacs installed at over 2,500 centers. The annual market for Linacs is estimated to be 1,100 units per year globally, the majority of which are replacement units. When organizations are ready to replace aging equipment with new counterparts, it opens a market segment for VRAY that had been exclusive to RT market leaders. VRAY’s systems being disruptive have a good chance of being adopted into mature markets. Further, since 76% of the RT sector is the replacement market, which we think is mostly in the industrialized countries, VRAY will be able to grow its installed base here as systems come up for replacement. VRAY’s units offer technological advantages over competitors and can fit into existing bunkers and offer “pop-apart” design that allows installation within existing vaults without the need for extensive restructuring. This should help with faster adoption of VRAY’s technology in the U.S. and other advanced markets such as Europe.
Gaining penetration in the new emerging markets poses a different type of challenge. It takes nine to twelve months to prepare an existing facility or construct a new vault and 45-90 days to complete installation and testing. Therefore, there is an intrinsic uncertainty associated with predicting the potential orders and resultant revenue. In the past year, management had sold only one system per quarter; and since not much could be done to reduce costs structurally, the cost of revenue remains very high. In the near term, we expect VRAY to focus their marketing efforts on growing customer base, and as they achieve economies of scale in the long term, it will help decrease their cost of goods sold (COGS).
Based on the above factors we have modeled modest revenue growth of the installed base globally for the next couple of years. This is based on our assumption that in order to gain entry into these markets, and expand geographic reach, management continues to invest in creating awareness of the product, price the unit attractively for emerging markets and continues to make headway by increasing the number of distributors and direct sales and support personnel as well as by further penetrating established international markets. As the installed base continues to rise, consequently we expect the number of maintenance contracts to increase throughout the forecast period. This will help the firm in generating a steady stream of recurring revenue.
ViewRay has two main sources of revenues. The system costs around $5.2 million and the annual service and maintenance costs amount to $300,000. VRAY warrants their system for parts and labor for one year, and offers a variety of post-warranty equipment service contracts and software support contracts to suit customers’ requirements. With approximately five sites committed to their technology, sixteen signed orders as of March 31, 2016 as well as distribution agreements in about nine countries in total, we expect VRAY to gain momentum in revenue as the technology gets widely adopted for use over time.
As VRAY’s systems are cost-intensive to manufacture, the low volume of current sales has not been sufficient to fully absorb certain fixed overhead costs, resulting in a relative low gross margin. But, as sales continue to grow and the company is able to achieve economies of scale, we expect an expansion in gross margin. We have modeled gross margin to widen to 35% by 2026, benefiting from contribution from MRIdian-Linac systems which is due to be out by 2017 and economies of scale from higher production volumes. .Management continues to be focused on controlling operating expenses, which should additionally benefit operating margins. We anticipate R&D expenses to increase moderately during the next couple of years as the company continues to innovate. We also expect the sales and marketing team to implement an aggressive sales strategy to build awareness and drive utilization of ViewRay’s units. We are guiding Op-Ex to have an average run rate of about $40 million over the next couple of years.
VRAY expects to submit a 510(k) application to the FDA in 2H 2016 for the MRIdian-Linac system. Pending approval, with supplemental clinical data to support sales and an aggressive marketing strategy we think VRAY can increase their installed base to about 500 units, which is roughly 4% of the total market potential of 13,500 systems by 2026.
We think that with the total cash of ~20 million the firm will be able to continue its operations until the end of 2016. If VRAY achieves the revenue milestone of $25 million by year-end it will be allowed to draw down another $5 million under the debt facility with CRG. Since there are a few years before VRAY turns cash flow positive, the firm may need to raise additional financing to carry on its planned operations in the coming quarters.
We use a 10-year DCF model to value ViewRay Inc. We expect revenue to remain soft until MRIdian-Linac is out in the market after FDA approval since most customers are awaiting its launch. The majority of our revenue forecast for the out years are based on the sales of the MRIdian-Linac system since we expect RT to transition towards this technology globally. As of June 30, 2016, the firm had 18 orders on backlog, which would likely translate to revenue of ~$100 million in the coming years. As per management’s guidance we expect revenue for the remainder of 2016 to be in the $5-$10 million range indicating that at most two systems would be delivered. We expect revenue to ramp up in 2017 and model it to grow to $240 million in 2019 and $580 million by 2026. Other inputs to our DCF model are a 12% discount rate and 2% terminal growth rate. Our conservative approach to financial projections yields a price target of $8.00/ share. Our outlook is subject to change depending on the progress with expanding installed base and regulatory approvals.
Risks
Reimbursement: A host of issues that the medical device industry has faced includes pricing concerns, procedural volume pressures, persistent global economic weakness as well as the Health Care Affordability Act in 2010 which has had some significant adverse effects related to reimbursement. VRAY’s systems may be subject to prolonged purchase orders as hospitals and healthcare centers undergo capital budgeting and approval processes that tend to be intensely scrutinized. The rate of reimbursement from CMS and third party insurers probably unintentionally influence investment decision-making in disruptive, yet cost-intensive, technologies. Insurance coverage can depend on analysis of comparable technologies and/or evidence-based technology. VRAY’s RT systems fall into the space where the technology is still in a nascent stage and there are no comparative studies that have been done between competing systems. Further, there is the potential for federal budget cutbacks that could adversely affect the reimbursement scenario.
Model-based assumptions are prone to large variations: Our projected revenue growth from the sales of the MRIdian system from the current year and beyond is largely based on best guesses related to the pace of adoption of VRAY’s technology as well as growth in the customer base. Revenue could underperform relative to our model if the customer base does not grow at our assumed forecast or is less correlated to revenue growth than what we are assuming. Achieving our price objective includes regulatory, competitive, and financial risks. ViewRay may require additional funding which could be dilutive to current shareholders.
READ THE FULL RESEARCH REPORT HERE
SUBSCRIBE TO ZACKS SMALL CAP RESEARCH to receive our articles and reports emailed directly to you each morning. Please visit our website for additional information on Zacks SCR and to view our disclaimer.