By David Bautz, PhD
NASDAQ:MNOV
READ THE FULL MNOV RESEARCH REPORT
Business Update
FDA Approves Clinical Plan for MN-166 to Prevent ARDS Caused by COVID-19
On July 1, 2020, MediciNova, Inc. (NASDAQ:MNOV) announced that the company’s Investigational New Drug application (IND) for MN-166 (ibudilast) for the prevention of acute respiratory distress syndrome (ARDS) caused by COVID-19 was approved by the U.S. FDA and that a clinical trial may initiate.
The proposed trial will be a randomized, double blind, placebo controlled, parallel group study in hospitalized COVID-19 patients who are at risk of developing ARDS (NCT04429555). Eligible patients will be receiving standard-of-care therapy, which includes anticoagulation therapy. Inclusion criteria includes:
• a positive PCR test for SARS-CoV-2 infection
• chest imaging with abnormalities consistent with COVID-19 pneumonia
• SpO2 ≤ 92% on room air, respiratory rate ≥ 24 breaths per min, and/or requirement for supplemental oxygen
• At least one of the following risk factors: age > 65, underlying serious heart disease, chronic lung disease, moderate to severe asthma, BMI ≥ 40, or diabetes
Patients will be randomized to receive up to 100 mg/day MN-166 (50 mg b.i.d) or placebo for seven days, with follow-up examinations on days 14 and 28. The co-primary endpoints include the proportion of subjects free from respiratory failure (defined by the need for decreased oxygen requirements), the mean change from baseline in clinical status using the NIAID 8-point ordinal scale, the percentage of patients with improvement in clinical status, and the change from baseline in the following cytokine levels: macrophage migration inhibitory factor (MIF), interleukin (IL)-1β, IL-6, tumor necrosis factor (TNF)-α, and c-reactive protein (CRP).
MN-166 Identified as Potential Inhibitor of SARS-CoV-2 Replication
A recently published study screened 1,520 compounds from the Prestwick Chemical Library® to evaluate potential anti-SARS-CoV-2 activity in a SARS-CoV-2 virus infected cell-based assay (Touret et al., 2020). Less than 6% of the 1,520 compounds were identified as having anti-SARS-CoV-2 potency based on the in vitro screening for SARS-CoV-2 replication inhibition. Encouragingly, this study identified MN-166 (ibudilast) as a hit compound with potential anti-SARS-CoV-2 activity.
MN-166 Effective in ARDS Mouse Model
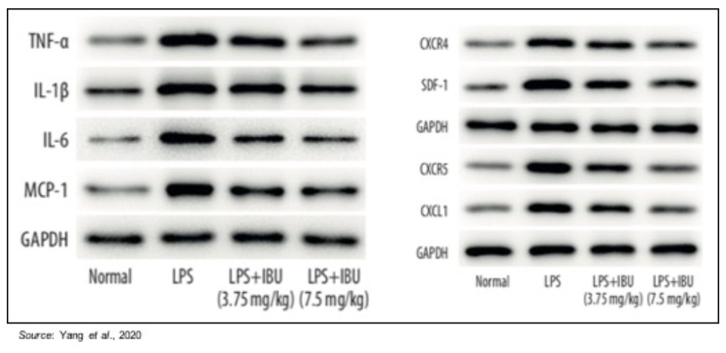
In a preclinical study, MN-166 was studied for its effectiveness on neonatal ARDS in a mouse model in which ARDS is induced with lipopolysaccharide (LPS) (Yang et al., 2020). Mice were divided into four groups of 10 each: a control group, a LPS-induced group, and two MN-166 treatment groups (3.75 and 7.5 mg/kg). The following figure shows that PDE4, which MN-166 is an inhibitor of, is increased by LPS stimulation and that treatment with MN-166 decreased this overexpression of PDE4 in lung tissue in ARDS mice.

In addition to decreasing the expression of PDE4, treatment with ibudilast also decreases the abnormal overexpression of different inflammatory cytokines, including TNF-a, IL-1b, IL-6, and MCP-1, and inflammatory chemokines, including CXCL1, CXCR4, and CXCR5.

Pulmonary edema was evaluated using the pulmonary edema score to indicate the amount of water accumulation in the lungs after pulmonary damage. Pulmonary edema was significantly reduced by MN-166 treatment (P<0.001). These results suggest that MN-166 may be able to reverse pulmonary edema, which is very important to the recovery of a patient suffering from ARDS.

The effect of MN-166 on lung cell apoptosis was also investigated. The following figure shows a TUNEL staining assay (which measures apoptosis; indicated by bright green) in which apoptosis (cell death) is prevalent in the untreated LPS sample, however the amount of apoptosis is decreased by MN-166 treatment, thus showing the drug’s ability to protect against pulmonary injury.

Inhibiting MIF May Improve Outcomes in Viral Infections
MIF is a protein that exhibits cytokine, endocrine, chaperone-like, and enzyme-like properties (Stosic-Grujicic et al., 2009). It binds to its high-affinity cell receptor CD74, leading to recruitment of CD44 and the mediation of a number of intracellular signaling pathways, including those involving the inflammatory cascade and the innate immune response (Calandra et al., 2003). MIF promotes the release of pro-inflammatory cytokines, such as TNF-α, IL-6, and prostaglandin E2. Elevated serum MIF concentrations are found in many infectious and inflammatory diseases. For example, MIF concentrations in sepsis patients correlate with disease severity (Bernhagen et al., 1993; Sprong et al., 2007) and anti-MIF antibodies protect mice in an in vivo model of septic shock (Calandra et al., 2000).
Numerous studies have shown the role of MIF in viral pathogenesis, thus potentially making MIF inhibition a suitable target for treating viral diseases, with a few of those discussed below:
• Arjona et al., 2007: This study investigated the role of MIF in the pathogenesis of West Nile Virus (WNV). The research showed that WNV patients had increased MIF levels in their plasma and cerebrospinal fluid. Blockade of MIF through three distinct mechanisms (antibody, small molecule, genetic deletion) increased resistance to WNV lethality in mouse models. The researchers concluded that MIF is involved in the pathogenesis of WNV and that targeting MIF could be useful in the treatment of WNV encephalitis.
• Assunção-Miranda et al., 2010: This study examined the involvement of MIF in dengue virus (DENV) infection and pathogenesis. Just as with WNV, patients with dengue hemorrhagic fever had elevated levels of MIF in their plasma and mif-deficient (Mif-/-) mice showed less severe disease following DENV infection, including a significant delay in lethality and lower viral loads compared to wild-type mice. These results again support inhibiting MIF as a therapeutic approach to treating DENV infection.
• Regis et al., 2010: This study investigated the role of MIF in patients with HIV-1 infection. Those with HIV-1 infection had elevated plasma levels of MIF and the HIV-1 protein gp120 induced MIF secretion from uninfected peripheral blood mononuclear cells (PMBCs). In addition, viral replication in PBMCs declined when the cells were treated with anti-MIF antibodies while viral replication was enhanced when recombinant MIF was added to HIV-1 infected PBMCs, thus showing that MIF is involved in promoting viral activity and inhibiting MIF could lead to decreased viral activity.
• Fox et al., 2018: The SPRINT-MS trial in patients with progressive multiple sclerosis (MS) showed that treatment with MN-166 resulted in a statistically significant decrease in the rate of decline in brain volume along with a 26% reduction in confirmed disability progression. In addition, an analysis of adverse events during the trial showed a statistically significant difference in upper respiratory tract infections, with only 10% of MN-166 treated patients reporting an upper respiratory tract infection compared to 19% of placebo treated patients (P=0.045).
The aforementioned studies show that MIF activity is related to viral pathogenesis, and viral replication, for a wide range of viruses and thus provides adequate support for using a MIF inhibitor in the treatment of viral diseases, including COVID-19 caused by the SARS-CoV-2 virus. The data from the SPRINT-MS trial is not related to any one particular virus, but is a real-world example of how MN-166 treatment can decrease overall viral infections, adding support to the notion that inhibiting MIF with MN-166 could be useful in treating viral infections.
Conclusion
The studies outlined in this report highlight how MN-166 could be effective against COVID-19 via two different pathways. The drug has shown efficacy in its ability to decrease expression of pro-inflammatory cytokines and may also directly affect viral pathogenesis. The ability to target two separate pathways may prevent deaths and facilitate a faster recovery in COVID-19 patients and could make MN-166 a valuable weapon against the ongoing coronavirus pandemic. We have updated our model to include the use of MN-166 in preventing ARDS caused by COVID-19. The situation is very fluid right now and we anticipate peak sales estimates to change numerous times, however currently we estimate for it to be a $250 million opportunity, which has increased our valuation slightly to $25 per share.
SUBSCRIBE TO ZACKS SMALL CAP RESEARCH to receive our articles and reports emailed directly to you each morning. Please visit our website for additional information on Zacks SCR.
DISCLOSURE: Zacks SCR has received compensation from the issuer directly, from an investment manager, or from an investor relations consulting firm, engaged by the issuer, for providing research coverage for a period of no less than one year. Research articles, as seen here, are part of the service Zacks provides and Zacks receives quarterly payments totaling a maximum fee of $40,000 annually for these services. Full Disclaimer HERE.